Granuloma Residual Calcificado No Pulmão

Webum granuloma calcificado no pulmão de 3mm pode causar algum incômodo? Um granuloma calcificado no pulmão de 3mm pode causar algum incômodo? Geralmente granulomas calcificados não causam dor. Webque significa granuloma calcificado do lobo inferior direito pra quem teve covid?

Granuloma calcificado no pulmão corresponde a uma cicatriz (sequela) de alguma infecção pulmonar prévia como tuberculose e pneumonia. Geralmente não cresce e não causa sintomas. Mas cada caso deve ser avaliado individualmente por um médico.

Pequenos linfonodos calcificados no mediastino. Pequenos linfonodos calcificados no mediastino. Edson marchiori, paulo marcos valiante, ana helena pereira correia, leonardo hoehl carneiro, carolina rodrigues caldas, arthur soares souza jr.

Granuloma Residual Calcificado No Pulmão

Granuloma (Infections) - Apex Dermatology & Skin Surgery

Texto em português english text. Pode não ser necessário um tratamento. Quando uma parte do pulmão fica coberta com fibrose e a respiração é afetada, os médicos podem precisar fazer cirurgia para remover a pleura fibrótica. Test your knowledge take a quiz! Pequenos linfonodos calcificados no mediastino. Pequenos linfonodos calcificados no mediastino. Webo que quer dizer:granulomas calcificados no lobo superior esquerdo e no lobo médio,associados a lifonodos calcificados no hilo pulmonar esquerdo,residuais. ? Isso geralmente significa algum problema antigo, uma infecção, por exemplo, que se resolveu e o organismo cicatrizou dessa forma, através de calcificações. Weba coleta de materiais para cultura como escarro ou lavado broncoalveolar são os métodos mais recomendados. O segundo passo na avaliação consiste na avaliação morfológica do granuloma, que pode ser obtida através de amostras de biópsia pulmonar, linfonodal, pele ou outras lesões suspeitas.

For more information, click the button below.

A sarcoidose tipicamente apresenta granulomas. Webdefinição de micro nódulo pulmonar. Um micro nódulo pulmonar é um nódulo muito pequeno (menos de 7 milímetros de diâmetro), localizado em um dos pulmões. Um nódulo é uma anomalia descoberta por meio de um exame de imagem como uma radiografia dos pulmões ou uma tomografia. Ele tem a aparência de uma pequena formação arredondada.

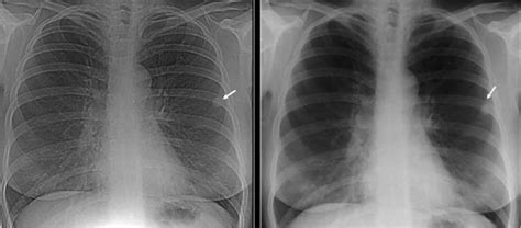
Webentenda a diferença de nódulos no pulmão malignos e benignos,. Se for pequeno, totalmente calcificado e se não apresentar evolução ao longo do tempo, a probabilidade de ele ser benigno é grande. Nesses casos, na maioria das vezes, não precisa ser tratado nem removido. Webo granuloma é um pequeno nódulo, de origem inflamatória, que o organismo forma ao redor de algo que o corpo não reconhece mas também não consegue expulsar. A maioria dos granulomas formados no organismo são lesões benignas, assim como no. Webas radiografias de tórax evidenciaram múltiplos nódulos pulmonares, que a tomografia computadorizada (figuras 1 e 2) mostrou estarem calcificados e escavados. A biópsia pulmonar a céu aberto revelou lesões de natureza inflamatória, constituídas por tecido fibroso maduro, com áreas de calcificação e ossificação infiltradas por. Pequenos linfonodos calcificados no mediastino. Webfora isso, se a causa do granuloma pulmonar for identificada se é infecciosa ou não infecciosa, então o tratamento visa tratar essa condição. Se o granuloma pulmonar é causado devido à infecção por bactérias, então antibióticos serão prescritos para eliminar as bactérias que causam a infecção.

Dr. Felipe Ades - Nódulos calcificados no pulmão e risco de câncer

Para saber mais informações sobre câncer, tratamento, prevenção e bem estar visite drfelipeades.com/ Visite também ...

Webnódulo pulmonar não calcificado. O nódulo não calcificado é uma lesão com mais de 0,3 mm, podendo chegar a 3,0 cm, pois o tamanho de um nódulo possui essa variação e deve estar especificado no laudo médico. Quando o nódulo não está calcificado, significa que ele não é somente uma cicatriz, que poderia ter sua origem devido a. Webfibrose e calcificação pleurais são, geralmente, sequelas benignas de inflamação pleural ou exposição ao amianto. Fibrose e calcificação pleurais podem ser.

O tratamento da fibrose e da calcificação geralmente é. Webas características que sugerem que o nódulo no pulmão é benigno são: O nódulo no pulmão apresenta um diâmetro inferior a 3 cm. Seu formato é arredondado, com borda lisa e regular. A pessoa que apresenta o nódulo no pulmão não é fumante e tem menos do que 35 anos, ou seja, é um paciente.

Webcomo os granulomas calcificados são quase sempre benignos, eles normalmente não precisam de tratamento. No entanto, se você tiver uma infecção ou condição ativa que está causando a formação de granuloma, seu médico trabalhará para tratar isso. Se você tiver uma infecção bacteriana ou fúngica ativa, seu médico. Webgranulomas ocorre em 53,9%, nódulo cortical, às vezes múltiplo, com bordos irregulares, frequentemente calcificado, com lesões satélite e geralmente sem adenopatias regionais. Em nosso país o mais frequente é o granuloma decorrente de uma infecção por tuberculose.

Imagem de nódulo pulmonar de natureza benigna, granuloma. Estou com granuloma residual calcificado lado esquerdo do pulmonar. Estou com granuloma residual calcificado lado esquerdo do pulmonar. É um achado benigno, muito comum e isento de significado clínico. Webem são josé dos campos você pode contar com os atendimentos do dr.

Ramiro sienra para obter mais informações e orientações sobre o nódulo pulmonar calcificado e demais diagnósticos ligados ao funcionamento do pulmão. Entre em contato e saiba mais informações. São calcificações cicatriciais geralmente relacionadas a uma infecção ou infestação prévia, como várias destas doenças se resolvem deixando este tipo de cicatriz (granuloma), não se é possível saber qual foi o tipo específico do agente infeccioso apenas por este achado de imagem. Caso exista interesse em avançar a. Webno entanto, mesmo que em casos menos comuns, a presença de um nódulo pode, sim, ser um sinal precoce de uma doença, como o câncer de pulmão ou o câncer em outro local do corpo. Portanto, para não dar espaço à falta de informação ou a conclusões precipitadas, veja abaixo tudo o que você precisa saber sobre nódulos pulmonares. Webo que é aspecto residual no pulmão? Essa descrição em exame de imagem é indicativa de algo que ocorreu no pulmão e deixou uma pequena cicatriz.

Tags

Granuloma No Pulmão Granuloma Calcificado GranuloNo Pulmão Granuloma Calcificado NoAlvelos Granuloma CalcificadoTC Granuloma PulmãoLamina Granuloma Calcificado Residual Lamina DeGranuloma No Pulmão Granuloma CalcificadoRadiografia GranulomaCalcificacao TB Granuloma CalcificadoUltrassom Granuloma CalcificadoIntravesical GlanulomaNo Pulmão Granuloma CalcificadoPulmonar Granuloma Caseoso NoPulmao NóduloCalcificado Pulmão Granuloma ImunogenicoNo Pulmão Granuloma Calcificado NoLobo Superior Esquerdo Granulomas Pulmão Cama PulmarCalcificado Nodulo Borda IrregulgarCalcificado No Pulmão Granuloma Calcificado NoLie CalcificaçaoGranuloma Granuloma CalcificadoRegiao Occiptal NodulosCalcificados Pulmão Imagem Granuloma NoPulmao JPEG Microgranuloma Calcificado No PulmãoDesenho Glanuloma CalcificadoTomografia NódulosCalcificados No Pulmão Granuloma CalcificadoEm Lobo Glanuloma CalcificadoCom Gordura Micronodulos Calcificados NoPulmao Grabulomas No PulmãoDe Bovinos PulmãoCom Granulima Tuberculoide PulmãoDe Bovino Com Granuloma Nodulo FibroticoCalcificado Pulmao Nódulo Calcificado Pulmão5 Milímetros Muitos NódulosCalcificados Pulmão CalcificaçãoNo Pulmão Granuloma NoPulmao O Que É GranulomaCaseoso Pulmao Idoso Com VermesCalcificados No Pulmão NóduloCalcificado No Pulmão Nódulo CalcificadoE Bem Delimitado No Pulmão Granuloma CalcificadoNa Tomografia Granuloma No Pulmão Residual Granuloma CalcificadoEsplênico Inflacao CronicaGranuloma No Pulmao GranulomaApical Granuloma CalcificadoPulmonar Covid
Author

Lisa

Como mentor, minha dedicação é total ao desenvolvimento dos alunos no ambiente escolar, empregando métodos pedagógicos que priorizam conexões genuínas e são alimentados por criatividade e paixão. Minha missão é orientar os estudantes em sua jornada para se tornarem uma geração notável, utilizando abordagens educacionais reconhecidas pelas principais instituições acadêmicas do mundo - pim.cpcompany.com.

Related Posts